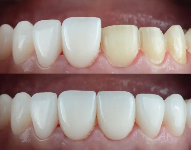
Zęby dorosłych: dlaczego wyglądają "dziwnie"? Przyczyny i jak je naprawić
Zastanawiasz się, dlaczego zęby dorosłych wyglądają dziwnie? Poznaj przyczyny zmian: wiek, nawyki, choroby. Odkryj skuteczne rozwiązania na piękny uśmiech!
W tej sekcji bloga odkryjesz wszystko, co powinieneś wiedzieć o zdrowiu zębów i jamy ustnej. Poruszamy tematy związane z higieną, profilaktyką, a także najnowszymi osiągnięciami w stomatologii. Nasze artykuły są pisane z myślą o Tobie - chcemy, abyś czuł się pewnie i dobrze zadbał o swój uśmiech. Dowiesz się, jak dbać o zęby w różnym wieku, jakie są najczęstsze problemy stomatologiczne oraz jak je skutecznie leczyć. Zachęcamy do eksploracji naszych treści, które są pełne praktycznych wskazówek i ciekawostek. Pozwól nam być Twoim przewodnikiem w drodze do zdrowego i pięknego uśmiechu!
Zastanawiasz się, dlaczego zęby dorosłych wyglądają dziwnie? Poznaj przyczyny zmian: wiek, nawyki, choroby. Odkryj skuteczne rozwiązania na piękny uśmiech!
Ile zębów stałych ma dorosły człowiek? Dowiedz się, skąd bierze się różnica (28 czy 32), poznaj ich rodzaje i znaczenie. Sprawdź, jak dbać o uśmiech!
Co zrobić, gdy dziecko połknie zęba? Poznaj instrukcje postępowania, objawy alarmowe i wskazówki obserwacji. Działaj świadomie!
Antybiotyk po wyrwaniu zęba: kiedy jest konieczny, a kiedy nie? Dowiedz się, kto decyduje i jak dbać o ranę, by uniknąć powikłań.
Ból zęba? Odkryj, dlaczego "trucie zęba" w domu jest groźne. Poznaj bezpieczne sposoby na ulgę i kiedy pilnie iść do dentysty. Nie ryzykuj zdrowia!
Sprawdź kompleksowy cennik wybielania zębów w Polsce! Porównaj metody gabinetowe i domowe, poznaj ukryte koszty i wybierz najlepszą opcję dla siebie.
Zastanawiasz się, ile zębów ma człowiek? Odkryj pełną liczbę u dzieci i dorosłych (20-32), ich funkcje oraz najczęstsze problemy. Poznaj tajniki zdrowego uzębienia!
Ból zęba? Sprawdź domowe sposoby i leki bez recepty na szybką ulgę. Dowiedz się, kiedy pilnie udać się do dentysty i jak zapobiegać problemom.
Ile kosztuje wstawienie zęba? Porównaj ceny implantów, mostów i protez. Poznaj ukryte koszty, refundację NFZ i zaplanuj budżet mądrze!
Zastanawiasz się, jak wybielić zęby? Poznaj profesjonalne i domowe metody, ich ceny i bezpieczeństwo. Sprawdź, co wybrać dla pięknego uśmiechu!
Ile zębów mają dzieci? Poznaj liczby mleczaków i stałych, harmonogram ząbkowania i wymiany. Sprawdź porady, jak dbać o uśmiech malucha!
Zastanawiasz się, ile licówek na zęby wybrać? Dowiedz się, od czego zależy ich liczba, poznaj najczęstsze scenariusze i zaplanuj idealny uśmiech z ekspertem.
Ile zębów ma dziecko? Poznaj kalendarz ząbkowania, objawy i etapy wymiany zębów mlecznych na stałe. Sprawdź, jak dbać o zdrowy uśmiech!
Odkryj, kiedy wychodzą "piątki" u dziecka i jak skutecznie złagodzić ból drugich trzonowców mlecznych. Sprawdź objawy i bezpieczne metody ulgi!
Odkryj, jak prawidłowo myć zęby szczoteczką soniczną krok po kroku. Unikaj błędów, poznaj technikę wymiatającą i dobierz tryb dla zdrowego uśmiechu.
Odkryj skuteczne metody usuwania kamienia nazębnego w gabinecie. Poznaj prawdę o domowych sposobach i naucz się, jak zapobiegać jego powstawaniu.
Zrozum budowę korzenia zęba i jego rolę. Naucz się rozpoznawać zdrowy vs. chory korzeń na RTG. Poznaj objawy pęknięcia i zapalenia. Sprawdź, jak dbać o korzenie.
Ile kosztuje implant zęba? Poznaj pełny koszt: wszczep, korona, łącznik. Odkryj czynniki wpływające na cenę i opcje finansowania. Sprawdź, na co uważać.
Odkryj, które choroby ogólnoustrojowe psują zęby, od cukrzycy po refluks. Poznaj mechanizmy ich działania i dowiedz się, jak skutecznie chronić swój uśmiech.
Zęby mleczne: kalendarz wyrzynania i wypadania. Poznaj objawy ząbkowania, sposoby na ulgę i kiedy iść do stomatologa. Sprawdź nasz poradnik!
Rozpoznaj objawy leczenia kanałowego: silny ból, reakcja na ciepło, zmiana koloru zęba. Dowiedz się, kiedy pilnie iść do dentysty i uniknąć powikłań.
Biała dieta po wybielaniu zębów: Co jeść, by utrzymać biel? Sprawdź listę produktów dozwolonych i zakazanych oraz porady pielęgnacyjne.
Leki przed wyrwaniem zęba: Które musisz zgłosić dentyście? Dowiedz się, jak bezpiecznie przygotować się do ekstrakcji i uniknąć powikłań.
Ile trwa borowanie zęba? Sprawdź, od czego zależy czas zabiegu (15-60 min), poznaj przebieg wizyty i zredukuj lęk przed dentystą.
Higienizacja zębów: czy boli? Ekspert wyjaśnia, kiedy możesz czuć dyskomfort i jak go uniknąć. Poznaj sposoby na komfortowy zabieg i zdrowy uśmiech.