Artykuł odpowie na pytanie, na ile zębów zakłada się licówki, rozwiewając wątpliwości dotyczące standardowej i zalecanej liczby licówek dla osiągnięcia satysfakcjonującego efektu estetycznego. Dowiesz się, od czego zależy decyzja o ich ilości oraz jak zaplanować metamorfozę uśmiechu, aby wyglądał naturalnie i spójnie.
Ile licówek na zęby indywidualna decyzja dla idealnego uśmiechu
- Liczba licówek jest zawsze kwestią indywidualną, zależną od oczekiwań, stanu uzębienia i szerokości uśmiechu.
- Najczęściej licówki zakłada się na 6, 8 lub 10 zębów w górnym łuku, aby uzyskać efekt "Hollywood smile".
- Pojedyncza licówka jest rozwiązaniem dla korekty jednego zęba po urazie lub przebarwieniu.
- Licówki na dolne zęby rozważa się rzadziej, głównie przy pełnej transformacji uśmiechu.
- Kluczowe czynniki to budżet, rodzaj licówek (porcelanowe, kompozytowe) oraz konieczność szlifowania.
- Konsultacja ze stomatologiem jest niezbędna do podjęcia optymalnej decyzji i stworzenia realistycznego planu leczenia.

Czym jest licówka i jaką rolę pełni w estetyce uśmiechu?
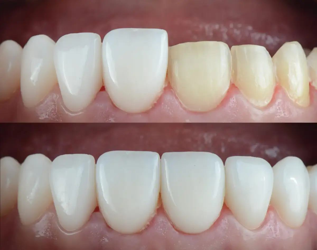
Licówki to nic innego jak cienkie nakładki, najczęściej wykonane z porcelany lub kompozytu, które przykleja się na przednią (licową) powierzchnię zębów. Ich głównym zadaniem jest poprawa estetyki uśmiechu. Dzięki licówkom możemy skorygować wiele problemów, takich jak nieestetyczny kolor, nieprawidłowy kształt czy zbyt krótka długość zębów. To rozwiązanie pozwala na szybką i spektakularną metamorfozę, nadając zębom pożądany wygląd i harmonię.
Kiedy jedna licówka to strzał w dziesiątkę?
Choć często myślimy o licówkach w kontekście kompleksowej zmiany uśmiechu, zdarza się, że jedna licówka jest dokładnie tym, czego potrzebujemy. Jest to idealne rozwiązanie, gdy problem estetyczny dotyczy tylko jednego zęba. Na przykład, jeśli ząb uległ urazowi, ma uporczywe przebarwienie, pęknięcie, którego nie da się skorygować w inny sposób, lub po prostu jego kształt znacząco odbiega od pozostałych. W takich sytuacjach pojedyncza licówka pozwala na punktową korektę, przywracając zębowi naturalny wygląd i idealnie dopasowując go do reszty uzębienia.
Czy można założyć licówki tylko na "jedynki" i "dwójki"?
Tak, założenie licówek wyłącznie na cztery przednie zęby, czyli "jedynki" (sieczne centralne) i "dwójki" (sieczne boczne), jest często wybieraną opcją. Jest to szczególnie popularne w przypadkach, gdy pacjent chce skorygować diastemę, czyli przerwę między górnymi jedynkami, lub poprawić wygląd tych najbardziej widocznych zębów, które odgrywają kluczową rolę w estetyce uśmiechu. Jeśli pozostałe zęby są w dobrym stanie i ich wygląd jest satysfakcjonujący, skupienie się na tej strefie może przynieść bardzo zadowalające rezultaty bez konieczności ingerencji w całe uzębienie.

Metamorfoza uśmiechu: wybór liczby licówek dla najlepszego efektu
"Uśmiech szóstkowy" dlaczego 6 licówek to najczęstszy wybór?
Jeśli marzysz o "Hollywood smile", założenie 6 licówek jest najczęściej rekomendowanym i najpopularniejszym rozwiązaniem. Obejmuje ono zęby od trójki do trójki w górnym łuku zębowym, czyli siekacze centralne, boczne oraz kły. Dlaczego akurat te zęby? Ponieważ są one najbardziej widoczne podczas uśmiechu i to właśnie one w dużej mierze decydują o jego estetyce. Korekta tych sześciu zębów pozwala na stworzenie spójnego, jasnego i harmonijnego uśmiechu, który wygląda naturalnie i przyciąga wzrok.
Od czwórki do czwórki: Kiedy warto rozważyć założenie 8 licówek?
Dla osób z nieco szerszym uśmiechem, u których podczas mówienia czy śmiechu widoczne są również zęby przedtrzonowe (czwórki), rozważenie założenia 8 licówek, czyli od czwórki do czwórki w górnym łuku, może być bardziej odpowiednie. W ten sposób zapewniamy, że cały widoczny obszar uśmiechu będzie spójny pod względem koloru, kształtu i długości. Jest to kluczowe dla uzyskania harmonijnego i naturalnego efektu, unikając sytuacji, w której piękne przednie zęby kontrastują z mniej estetycznymi zębami bocznymi.
Pełna linia uśmiechu dla kogo przeznaczone jest 10 lub więcej licówek?
Założenie 10 lub więcej licówek, obejmujących zęby od piątki do piątki lub nawet dalej w górnym łuku, jest przeznaczone dla osób z bardzo szerokim uśmiechem. W takich przypadkach, gdy podczas uśmiechu widoczne są również zęby boczne, a nawet szóstki, pełna transformacja górnego łuku zębowego jest niezbędna. Tylko w ten sposób można osiągnąć idealną spójność estetyczną, zapewniając, że wszystkie widoczne zęby będą wyglądały jednolicie i harmonijnie, tworząc efekt "wow".
Górny łuk czy oba? Kiedy warto zainwestować w licówki na dolne zęby?
Licówki na dolne zęby zakłada się rzadziej niż na górne, głównie dlatego, że są one mniej widoczne w codziennym funkcjonowaniu i podczas uśmiechu. Jednak w niektórych przypadkach warto rozważyć ich założenie. Jest to szczególnie wskazane przy pełnej transformacji uśmiechu, gdy estetyka dolnych zębów znacząco odbiega od górnych, co mogłoby zaburzyć ogólną harmonię. Jeśli dolne zęby są mocno przebarwione, mają nieestetyczny kształt lub są nierówne, licówki na oba łuki gwarantują kompleksowy i spójny rezultat, który będzie wyglądał naturalnie z każdej perspektywy.
Kluczowe czynniki wpływające na liczbę licówek
Twoje indywidualne oczekiwania a realistyczny plan leczenia
Jako stomatolog zawsze podkreślam, że oczekiwania pacjenta są kluczowe, ale muszą być realistyczne. Cel estetyczny, jaki chcesz osiągnąć czy to drobna korekta, czy całkowita zmiana wyglądu uśmiechu bezpośrednio wpływa na liczbę potrzebnych licówek. Moim zadaniem jest pomóc Ci dopasować te oczekiwania do rzeczywistych możliwości, stanu Twojego uzębienia i budżetu. Wspólnie stworzymy plan leczenia, który przyniesie Ci wymarzony uśmiech, ale w sposób bezpieczny i trwały.
Jak szerokość Twojego uśmiechu wpływa na planowanie zabiegu?
Szerokość uśmiechu to jeden z najważniejszych czynników, które bierzemy pod uwagę podczas planowania zabiegu. Mierzymy ją, aby ocenić, ile zębów jest widocznych, gdy się uśmiechasz. U osób z szerokim uśmiechem, u których widocznych jest więcej zębów (czasem nawet szóstki), może być potrzebna większa liczba licówek. Tylko w ten sposób uzyskamy spójny i naturalny efekt, unikając sytuacji, w której piękne licówki kończą się nagle, a dalej pojawiają się zęby o innym odcieniu czy kształcie. Harmonia jest tutaj najważniejsza.
Stan zdrowia zębów warunek konieczny przed założeniem licówek
Zawsze powtarzam moim pacjentom: licówki można zakładać tylko na zdrowe zęby. To absolutny warunek konieczny. Oznacza to, że przed przystąpieniem do zabiegu musimy wykluczyć wszelkie problemy, takie jak próchnica, aktywne choroby dziąseł czy choroby przyzębia (np. paradontoza). Wszelkie infekcje czy stany zapalne muszą być wyleczone. Dbanie o zdrowie jamy ustnej przed założeniem licówek jest fundamentem ich trwałości i Twojego komfortu na lata.
Budżet a liczba licówek jak pogodzić marzenia z finansami?
Nie oszukujmy się, budżet jest istotnym czynnikiem wpływającym na decyzję o liczbie licówek. Koszt jednej licówki porcelanowej w Polsce waha się zazwyczaj od około 1500 zł do 3500 zł, natomiast licówki kompozytowe są tańsze, kosztując od 600 zł do 1500 zł za sztukę. Pamiętaj, że cena podawana jest za jedną licówkę, co oznacza, że całkowity koszt rośnie proporcjonalnie do ich liczby. W trakcie konsultacji zawsze staram się pomóc pacjentom w doborze rozwiązania, które będzie optymalne zarówno pod względem estetycznym, jak i finansowym, aby marzenia o pięknym uśmiechu stały się realne.
Licówki: ile i jakie wybrać przed podjęciem decyzji?
Licówki porcelanowe vs. kompozytowe która opcja lepiej spełni Twoje oczekiwania?
Wybór między licówkami porcelanowymi a kompozytowymi to jedna z kluczowych decyzji. Oba rodzaje mają swoje zalety i wady, które warto rozważyć:
| Cecha | Licówki porcelanowe | Licówki kompozytowe |
|---|---|---|
| Rodzaj materiału | Cienka warstwa ceramiki dentystycznej | Materiały kompozytowe (żywice) |
| Trwałość | Bardzo wysoka (10-20 lat) | Niższa (3-7 lat) |
| Odporność na przebarwienia | Bardzo wysoka, nie ulegają przebarwieniom | Niższa, podatne na przebarwienia (kawa, herbata, wino) |
| Naturalność efektu | Najbardziej naturalny wygląd, idealne odwzorowanie szkliwa | Dobry efekt, ale nieco mniej naturalny niż porcelana |
| Czas wykonania | Wymagają kilku wizyt (wyciski, praca laboratorium) | Często możliwe do wykonania na jednej wizycie |
| Cena | Wyższa (1500-3500 zł za sztukę) | Niższa (600-1500 zł za sztukę) |
Czy szlifowanie zębów pod licówki jest zawsze konieczne?
To pytanie nurtuje wielu pacjentów. Odpowiedź brzmi: nie zawsze. W tradycyjnym podejściu delikatne szlifowanie zębów jest często wymagane, aby stworzyć miejsce na licówkę i zapewnić jej optymalne przyleganie oraz naturalny wygląd. Jednak rozwój stomatologii estetycznej przyniósł licówki bez szlifowania, tzw. licówki non-prep. Są one bardzo cienkie i mogą być założone bez ingerencji w strukturę zęba. Możliwość ich zastosowania zależy jednak od indywidualnych warunków, takich jak kształt zębów, ich ustawienie w łuku czy oczekiwany efekt. Decyzja o szlifowaniu zawsze podejmowana jest wspólnie z pacjentem po dokładnej analizie.
Najczęstsze błędy przy planowaniu liczby licówek i jak ich uniknąć
W mojej praktyce widzę, że pacjenci często popełniają kilka błędów przy planowaniu liczby licówek. Oto najczęstsze z nich i wskazówki, jak ich uniknąć:
- Skupianie się tylko na górnych jedynkach: Pacjenci często chcą poprawić tylko dwa przednie zęby. Problem w tym, że uśmiech to całość. Zawsze zalecam rozważenie korekty co najmniej 6-8 zębów w górnym łuku, aby efekt był spójny i naturalny.
- Ignorowanie szerokości uśmiechu: Niektórzy nie zdają sobie sprawy, że uśmiechają się szerzej, niż im się wydaje. Jeśli widać Twoje czwórki czy piątki, a założysz licówki tylko na szóstkę przednich zębów, efekt może być nienaturalny. Zawsze mierzymy szerokość uśmiechu, aby zaplanować optymalną liczbę licówek.
- Brak uwzględnienia dolnego łuku: Chociaż licówki na dolne zęby są rzadsze, w niektórych przypadkach są kluczowe. Jeśli dolne zęby są bardzo przebarwione lub nierówne, a górne będą idealne, może to zaburzyć harmonię. Warto to omówić z lekarzem.
- Brak wizualizacji efektów: Zawsze zachęcam do skorzystania z możliwości wizualizacji (np. wax-up, mock-up), aby zobaczyć, jak będzie wyglądał Twój uśmiech po zabiegu. To pomaga uniknąć rozczarowań i podjąć świadomą decyzję o liczbie licówek.
Konsultacja ze stomatologiem: Twój klucz do idealnego uśmiechu
Dlaczego indywidualna ocena lekarza jest niezbędna?
W mojej opinii, indywidualna ocena stomatologa jest absolutnie fundamentalna. Tylko doświadczony lekarz jest w stanie kompleksowo ocenić stan zdrowia Twoich zębów i dziąseł, dokładnie zmierzyć szerokość uśmiechu, zbadać zgryz i zaproponować realistyczny oraz spójny plan leczenia. To nie tylko kwestia estetyki, ale przede wszystkim bezpieczeństwa i trwałości. Stomatolog pomoże Ci uniknąć przeciwwskazań, takich jak bruksizm (zgrzytanie zębami), duże wady zgryzu, zaawansowana próchnica czy choroby przyzębia, które mogłyby uniemożliwić lub skomplikować założenie licówek.
"Licówki to nie tylko kwestia estetyki, ale przede wszystkim precyzyjnego planowania, które uwzględnia anatomię uśmiechu i oczekiwania pacjenta. Indywidualna konsultacja jest fundamentem trwałego i naturalnego efektu."
Jak przygotować się do wizyty, by uzyskać wszystkie odpowiedzi?
Aby maksymalnie wykorzystać czas konsultacji i uzyskać wszystkie nurtujące Cię odpowiedzi, warto się do niej przygotować. Oto kilka praktycznych wskazówek:
- Spisz pytania: Przygotuj listę pytań dotyczących liczby licówek, materiałów, kosztów, procesu, trwałości i pielęgnacji.
- Określ swoje oczekiwania: Zastanów się, jaki efekt chcesz osiągnąć. Czy chcesz tylko rozjaśnić zęby, czy zmienić ich kształt i długość?
- Przygotuj zdjęcia inspiracji: Jeśli masz zdjęcia uśmiechów, które Ci się podobają, pokaż je lekarzowi. To pomoże mi lepiej zrozumieć Twoje preferencje.
- Bądź otwarty na sugestie: Pamiętaj, że otwarta komunikacja z lekarzem jest kluczowa. Bądź gotowy na to, że stomatolog może zaproponować inne rozwiązania, które będą lepiej dopasowane do Twoich warunków.
Przeczytaj również: Jak usunąć kamień nazębny? Prawda o domowych sposobach i gabinecie
Od planu do efektu jak przebiega proces zakładania licówek krok po kroku?
Proces zakładania licówek to zazwyczaj kilkuetapowa podróż do nowego uśmiechu, wymagająca od 2 do 4 wizyt:
- Konsultacja i planowanie: Na pierwszej wizycie omawiamy Twoje oczekiwania, oceniamy stan zębów i dziąseł, wykonujemy zdjęcia, a często także skany 3D lub wyciski, aby stworzyć cyfrowy projekt uśmiechu (DSD - Digital Smile Design).
- Przygotowanie zębów (jeśli konieczne): Jeśli jest to konieczne, zęby są delikatnie szlifowane, aby stworzyć miejsce na licówki. W przypadku licówek non-prep ten etap jest pomijany.
- Pobranie wycisków lub skanów: Po przygotowaniu zębów pobierane są precyzyjne wyciski lub skany cyfrowe, które są wysyłane do laboratorium protetycznego.
- Założenie licówek tymczasowych: Aby chronić zęby i zapewnić estetykę na czas oczekiwania na licówki stałe, często zakładane są tymczasowe nakładki.
- Wykonanie licówek w laboratorium: Technicy protetyczni w laboratorium, na podstawie wycisków lub skanów, precyzyjnie wykonują licówki, dopasowując je idealnie do Twoich zębów i oczekiwanego kształtu oraz koloru.
- Przymiarka i cementowanie: Na ostatniej wizycie przymierzamy gotowe licówki. Jeśli wszystko pasuje idealnie i jesteś zadowolony z efektu, licówki są trwale cementowane (przyklejane) do powierzchni zębów za pomocą specjalnego kleju.
