Idealny moment na stały aparat ortodontyczny wiek dziecka i kluczowe sygnały
- Optymalny wiek: Aparat stały najczęściej zakłada się dzieciom w wieku 12-14 lat, gdy mają już większość zębów stałych, a kości szczęk aktywnie rosną.
- Pierwsza wizyta: Konsultacja ortodontyczna powinna odbyć się już około 7. roku życia, aby wcześnie wykryć i ewentualnie skorygować wady rozwojowe.
- Sygnały alarmowe: Zwróć uwagę na stłoczone zęby, wady wymowy, zgrzytanie, oddychanie przez usta czy przedwczesną utratę mleczaków.
- Proces leczenia: Obejmuje diagnostykę, przygotowanie (wyleczenie zębów), założenie aparatu, regularne wizyty kontrolne i kluczowy etap retencji.
- Korzyści: Leczenie w okresie wzrostu zapewnia szybsze i stabilniejsze efekty, a prosty zgryz to lepsze zdrowie i większa pewność siebie.
- Koszty: Leczenie aparatem stałym jest zazwyczaj prywatne; NFZ refunduje głównie aparaty ruchome dla dzieci do 13. roku życia.

Kiedy jest czas na aparat? Kluczowe sygnały, których nie możesz zignorować
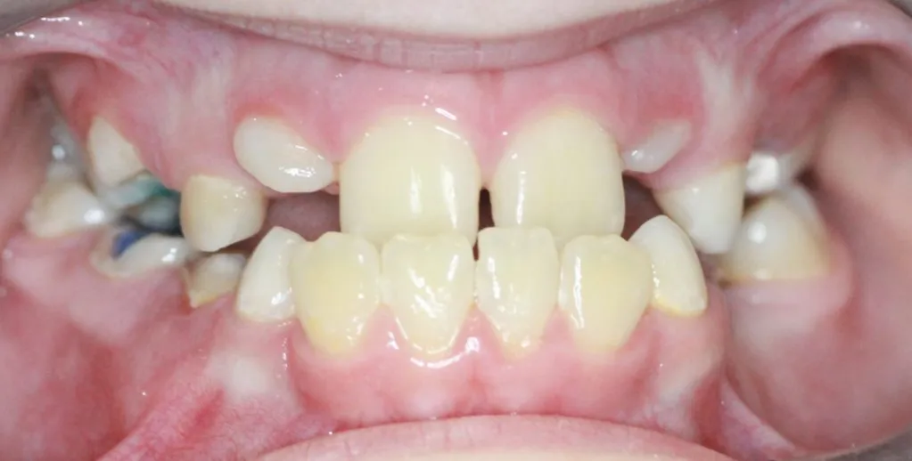
Jako rodzice, często zastanawiamy się, czy zęby naszego dziecka rozwijają się prawidłowo. Istnieje wiele widocznych sygnałów, które powinny wzbudzić naszą czujność i skłonić do wizyty u ortodonty. Mówię tu o wszelkich widocznych nieprawidłowościach zgryzu, takich jak stłoczone zęby, które nachodzą na siebie, zęby wychylone lub obrócone, a także zbyt duże przerwy między nimi. Czasem zauważamy, że górne zęby znacznie wystają poza dolne (tyłozgryz) lub odwrotnie (przodozgryz). Nie lekceważmy tych objawów. Pamiętajmy, że to nie tylko kwestia estetyki, choć piękny uśmiech jest oczywiście ważny. Niewłaściwy zgryz może prowadzić do poważnych problemów zdrowotnych, takich jak trudności w prawidłowym gryzieniu i żuciu, co wpływa na trawienie, a także zwiększa ryzyko próchnicy i chorób dziąseł, ponieważ stłoczone zęby są trudniejsze do dokładnego wyczyszczenia.
Ukryte problemy: wady wymowy, zgrzytanie zębami i oddychanie przez usta jako sygnały alarmowe
Oprócz tych widocznych problemów, istnieją również mniej oczywiste sygnały, które mogą wskazywać na potrzebę konsultacji ortodontycznej. Zwróćmy uwagę na problemy funkcjonalne. Czy dziecko ma trudności z gryzieniem lub żuciem pokarmów? A może zauważyliście u niego wady wymowy, na przykład seplenienie, które nie ustępuje mimo ćwiczeń logopedycznych? Często przyczyną jest nieprawidłowe ułożenie języka lub wada zgryzu. Innym alarmującym objawem jest zgrzytanie zębami (bruksizm), szczególnie w nocy, co może prowadzić do ścierania szkliwa i bólu szczęk. Co więcej, jeśli dziecko często oddycha przez usta zamiast przez nos, może to mieć negatywny wpływ na rozwój szczęk i prowadzić do wydłużenia twarzy oraz zwężenia górnego łuku zębowego. Wszystkie te sygnały to dzwonki alarmowe, które wskazują, że warto skonsultować się ze specjalistą.
Złe nawyki, które niszczą zgryz: rola ssania kciuka i smoczka w rozwoju wad
Warto również przyjrzeć się nawykom naszych pociech. Długotrwałe ssanie kciuka lub smoczka, zwłaszcza po 3. roku życia, to jeden z najczęstszych czynników prowadzących do rozwoju wad zgryzu. Ciągły nacisk na zęby i podniebienie może powodować ich wychylenie, powstawanie zgryzu otwartego (gdy zęby górne i dolne nie stykają się ze sobą) czy zwężenie szczęki. Podobnie, obgryzanie paznokci czy długopisów, choć wydaje się niewinne, może przyczyniać się do nieprawidłowego ustawienia zębów i przeciążenia stawów skroniowo-żuchwowych. Z moich obserwacji wynika, że im wcześniej uda nam się wyeliminować te nawyki, tym mniejsze ryzyko poważnych konsekwencji ortodontycznych.
Przedwczesna utrata mleczaków dlaczego to ważny sygnał dla ortodonty?
Kolejnym istotnym sygnałem, na który jako rodzice powinniśmy zwrócić uwagę, jest przedwczesna utrata zębów mlecznych. Zęby mleczne pełnią funkcję "strażników miejsca" dla zębów stałych. Jeśli dziecko straci mleczaka zbyt wcześnie, na przykład z powodu próchnicy lub urazu, sąsiednie zęby mogą przesunąć się w wolną przestrzeń. To z kolei prowadzi do tego, że ząb stały, który miał się tam wyrznąć, nie ma już wystarczająco miejsca i może wyrosnąć krzywo, stłoczyć się z innymi lub w ogóle nie wyrznąć się prawidłowo. W takiej sytuacji ortodonta może zastosować specjalne utrzymywacze przestrzeni, aby zapobiec problemom w przyszłości.Pierwsza wizyta u ortodonty: Kiedy i jak przygotować dziecko?
Wielu rodziców zakłada, że z wizytą u ortodonty należy czekać, aż dziecko będzie miało wszystkie zęby stałe. To błąd, który niestety często widuję w mojej praktyce. Zgodnie z zaleceniami specjalistów, pierwsza konsultacja ortodontyczna powinna odbyć się już około 7. roku życia dziecka. W tym wieku dziecko ma już zęby stałe sieczne i pierwsze trzonowce, co pozwala ortodoncie ocenić rozwój zgryzu i szczęk. Taka wczesna wizyta ma charakter diagnostyczny i pozwala na wykrycie potencjalnych nieprawidłowości na wczesnym etapie, zanim staną się one bardziej skomplikowane i trudniejsze do skorygowania. Przygotowanie dziecka do tej wizyty jest kluczowe warto opowiedzieć mu, że to spotkanie z "lekarzem od prostych ząbków", który pomoże mu mieć piękny i zdrowy uśmiech, bez straszenia i niepotrzebnego stresu.
Jak wygląda pierwsza wizyta? Przebieg badania, diagnostyka i plan leczenia
Podczas pierwszej wizyty ortodonta przeprowadzi szczegółową ocenę zgryzu i stanu uzębienia dziecka. Nie jest to bolesne, a ma na celu zebranie jak najwięcej informacji. Oto, czego można się spodziewać:
- Ocena zgryzu i stanu uzębienia. Ortodonta dokładnie obejrzy zęby, dziąsła, język oraz sposób, w jaki szczęki dziecka się ze sobą stykają.
- Wykonanie zdjęć RTG (pantomograficzne i cefalometryczne). Te zdjęcia są niezwykle ważne, ponieważ pokazują ukryte zęby, korzenie, stan kości oraz relacje między szczękami, co jest niemożliwe do oceny podczas zwykłego badania.
- Pobranie wycisków lub wykonanie skanów cyfrowych jamy ustnej. Pozwala to na stworzenie trójwymiarowego modelu zgryzu dziecka, który jest niezbędny do precyzyjnego planowania leczenia.
- Opracowanie indywidualnego planu leczenia. Na podstawie wszystkich zebranych danych, ortodonta przedstawi rodzicom i dziecku, jeśli to możliwe, szczegółowy plan leczenia, omówi dostępne opcje i odpowie na wszelkie pytania.
Ruchomy czy stały? Kiedy ortodonta decyduje się na wczesne leczenie aparatem ruchomym?
Nie każda wada zgryzu wymaga od razu aparatu stałego. W przypadku młodszych dzieci, często zanim rozważymy stałe rozwiązanie, ortodonta może zdecydować się na wczesne leczenie aparatem ruchomym. Aparaty ruchome, takie jak płytki lub aparaty typu trainer, są stosowane w celu korekty drobnych wad, poszerzenia łuków zębowych, stymulowania lub hamowania wzrostu szczęk, a także do przygotowania jamy ustnej na przyszłe leczenie aparatem stałym. Są one szczególnie skuteczne w okresie aktywnego wzrostu dziecka, gdy kości są bardziej plastyczne. Noszenie aparatu ruchomego przez kilka godzin dziennie i w nocy może znacząco poprawić warunki w jamie ustnej i często skrócić, a nawet uprościć, ewentualne późniejsze leczenie aparatem stałym.Aparat stały wszystko, co musisz wiedzieć przed podjęciem decyzji
Przejdźmy do sedna, czyli do aparatu stałego. Z mojego doświadczenia wynika, że najczęściej rekomendowanym wiekiem na założenie stałego aparatu ortodontycznego jest okres, gdy dziecko posiada już większość lub wszystkie zęby stałe, co zazwyczaj przypada na 12-14 rok życia. Dlaczego właśnie ten wiek jest tak optymalny? Otóż w tym czasie wzrost kości szczęk jest wciąż aktywny. Oznacza to, że kości są bardziej plastyczne i podatne na zmiany, co ułatwia korektę wad i sprawia, że leczenie jest bardziej efektywne i często krótsze. Wcześniejsze podjęcie decyzji o leczeniu w tym okresie wzrostu może przynieść naprawdę spektakularne i stabilne efekty, minimalizując potrzebę bardziej inwazyjnych interwencji w przyszłości.
Korzyści z leczenia w okresie wzrostu: szybsze efekty i większa stabilność
Leczenie ortodontyczne w okresie aktywnego wzrostu dziecka to strategiczna decyzja, która przynosi wiele długofalowych korzyści. Oto najważniejsze z nich:
- Większa podatność kości: Młody, rozwijający się organizm znacznie lepiej reaguje na siły ortodontyczne. Kości szczęk są bardziej elastyczne, co ułatwia ich modelowanie i przesuwanie zębów w pożądane pozycje.
- Szybsze efekty: Dzięki tej plastyczności kości, czas leczenia aparatem stałym u dzieci i młodzieży może być krótszy niż u dorosłych, u których procesy kostne są już zakończone.
- Stabilniejsze wyniki: Ponieważ kości wciąż się rozwijają i adaptują do nowych warunków, zmiany uzyskane podczas leczenia mają większe szanse na trwałe utrwalenie, co minimalizuje ryzyko nawrotu wady.
- Mniejsze ryzyko ekstrakcji: Leczenie w okresie wzrostu często pozwala na stworzenie wystarczającej przestrzeni dla wszystkich zębów, dzięki czemu rzadziej konieczne jest usuwanie zdrowych zębów stałych.
Metalowy, ceramiczny, a może samoligaturujący? Przegląd dostępnych rodzajów aparatów stałych
Wybór aparatu stałego to ważna decyzja, a na rynku dostępnych jest kilka rodzajów, które różnią się estetyką, mechaniką działania i ceną. Zawsze omawiam z rodzicami i dzieckiem wszystkie opcje, aby wybrać najlepsze rozwiązanie:
- Aparaty metalowe: To klasyczne, najbardziej popularne i ekonomiczne rozwiązanie. Są bardzo skuteczne i wytrzymałe. Nowoczesne aparaty metalowe są znacznie mniejsze i bardziej komfortowe niż te sprzed lat.
- Aparaty estetyczne (ceramiczne, kryształowe): Jeśli estetyka jest priorytetem, można wybrać aparaty z zamkami w kolorze zęba (ceramiczne) lub całkowicie przezroczyste (kryształowe). Są one znacznie mniej widoczne, choć mogą być nieco droższe i bardziej kruche niż metalowe.
- Aparaty samoligaturujące: To nowoczesny system, który nie wymaga gumowych ligatur do mocowania łuku w zamkach. Dzięki specjalnej klapce, łuk swobodnie przesuwa się w zamkach, co może skracać czas leczenia, zmniejszać liczbę wizyt kontrolnych i potencjalnie powodować mniejszy dyskomfort.
Proces leczenia aparatem stałym krok po kroku
Leczenie ortodontyczne to proces, który wymaga cierpliwości i współpracy. Zawsze podkreślam, że sukces zależy od zaangażowania zarówno pacjenta, jak i rodziców. Zaczynamy od fazy przygotowawczej, która jest absolutnie kluczowa. Przed założeniem aparatu konieczne jest wyleczenie wszystkich zębów z próchnicy aparat na zębach z ubytkami to proszenie się o kłopoty. Niezbędna jest również profesjonalna higienizacja, czyli usunięcie kamienia i osadu. Czasem, aby stworzyć miejsce na pierścienie aparatu (które mocuje się na zębach trzonowych), konieczna jest tzw. separacja. Polega to na umieszczeniu małych gumek między zębami na kilka dni, co może być nieco niekomfortowe, ale jest niezbędne do dalszych etapów.
Etap 2: Bezbolesne zakładanie aparatu czego spodziewać się w gabinecie?
Wielu moich małych pacjentów obawia się momentu zakładania aparatu. Zawsze uspokajam, że jest to zabieg całkowicie bezbolesny. Trwa zazwyczaj od 60 do 90 minut. Ortodonta precyzyjnie przykleja do każdego zęba specjalne zamki za pomocą bezpiecznego kleju ortodontycznego. Następnie przez te zamki przewlekany jest łuk ortodontyczny, który jest mocowany za pomocą ligatur (małych gumek) lub specjalnych klipsów w przypadku aparatów samoligaturujących. Dziecko może odczuwać lekkie napięcie, ale nie ból. Po założeniu aparatu otrzymuje się szczegółowe instrukcje dotyczące higieny i diety.
Etap 3: Aktywne leczenie i wizyty kontrolne jak często i po co?
Po założeniu aparatu rozpoczyna się etap aktywnego leczenia. W tym czasie kluczowe są regularne wizyty kontrolne u ortodonty, zazwyczaj co 4-8 tygodni. Podczas tych wizyt ortodonta reguluje aparat, wymienia łuki na mocniejsze lub o innym kształcie, a także zmienia ligatury. To właśnie te modyfikacje stopniowo przesuwają zęby w pożądane pozycje. Średni czas leczenia aparatem stałym wynosi od 18 do 24 miesięcy, ale może być krótszy lub dłuższy w zależności od złożoności wady i indywidualnej reakcji organizmu dziecka na leczenie. Niezwykle ważna jest punktualność i regularność tych wizyt, aby leczenie przebiegało sprawnie i efektywnie.
Etap 4: Dzień zdjęcia aparatu i kluczowa rola retencji w utrzymaniu efektów
Nadejdzie wreszcie ten wyczekiwany dzień dzień zdjęcia aparatu! To moment radości i ulgi, ale muszę podkreślić, że leczenie ortodontyczne nie kończy się wraz ze zdjęciem aparatu. Kluczowym etapem, który często jest niedoceniany, jest retencja. Po zdjęciu aparatu zęby mają tendencję do powracania do swojej pierwotnej pozycji, dlatego konieczne jest noszenie aparatu retencyjnego. Może to być stały retainer (cienki drucik przyklejony od wewnętrznej strony zębów) lub ruchomy aparat retencyjny (przezroczysta nakładka lub płytka retencyjna), noszony początkowo przez większość doby, a następnie tylko w nocy. Etap retencji jest równie ważny, co aktywne leczenie, ponieważ to on utrwala uzyskane wyniki i zapobiega nawrotom wady. Bez retencji cała praca i wysiłek mogą pójść na marne.
Codzienne życie z aparatem ortodontycznym praktyczne wskazówki
Życie z aparatem ortodontycznym wymaga pewnych zmian w codziennych nawykach, zwłaszcza w kwestii higieny. Ale spokojnie, to nic trudnego, a efekty są tego warte:
- Specjalistyczne szczoteczki: Konieczne jest używanie szczoteczek ortodontycznych z wycięciem na zamki, a także szczoteczek jednopęczkowych do czyszczenia trudno dostępnych miejsc wokół zamków i szczoteczek międzyzębowych.
- Nici dentystyczne: Regularne nitkowanie zębów z aparatem jest bardziej skomplikowane, ale niezbędne. Pomocne są specjalne nici ortodontyczne z usztywnioną końcówką lub irygator, który skutecznie wypłukuje resztki jedzenia i osad.
- Płukanki: Stosowanie płukanek z fluorem pomoże wzmocnić szkliwo i zapobiegać próchnicy, która może rozwijać się wokół zamków.
- Regularne wizyty u higienistki: Oprócz codziennej higieny w domu, zalecam regularne, profesjonalne czyszczenie zębów u higienistki stomatologicznej, aby usunąć osad i kamień, do którego trudno dotrzeć samodzielnie.
Dieta małego pacjenta: czego unikać, by nie uszkodzić aparatu?
Dieta to kolejny obszar, w którym musimy wprowadzić pewne modyfikacje, aby nie uszkodzić aparatu i zapewnić jego skuteczne działanie. Oto lista produktów, których należy unikać lub spożywać z dużą ostrożnością:
- Twarde produkty: Orzechy, twarde pieczywo (np. sucharki), surowa marchew czy jabłka (jeśli nie są pokrojone na małe kawałki) mogą odkleić zamki lub uszkodzić łuk.
- Klejące i ciągnące słodycze: Krówki, toffi, karmel, gumy do żucia wszystko, co się klei, może utknąć w aparacie, być trudne do usunięcia i sprzyjać próchnicy, a także odklejać zamki.
- Produkty wymagające odgryzania: Jabłka, kolba kukurydzy, kanapki z twardą skórką wszystko to należy kroić na małe kawałki, zamiast odgryzać.
- Gazowane napoje: Mogą sprzyjać demineralizacji szkliwa wokół zamków, co prowadzi do nieestetycznych przebarwień i próchnicy.
Potencjalne trudności: jak radzić sobie z dyskomfortem po wizytach kontrolnych?
Po założeniu aparatu oraz po każdej wizycie kontrolnej i regulacji, dziecko może odczuwać pewien dyskomfort lub lekki ból zębów. To normalna reakcja na działające siły ortodontyczne. Zazwyczaj trwa to kilka dni. Aby ulżyć dziecku, doradzam spożywanie miękkich pokarmów, które nie wymagają intensywnego gryzienia. Pomocne mogą być również zimne okłady przykładane do policzka. W razie potrzeby można zażyć dostępne bez recepty leki przeciwbólowe, takie jak ibuprofen czy paracetamol, zawsze zgodnie z ulotką i zaleceniami. Jeśli aparat ociera policzki lub wargi, warto zastosować specjalny wosk ortodontyczny, który tworzy barierę ochronną i zapobiega podrażnieniom. Z czasem dziecko przyzwyczaja się do aparatu, a dyskomfort staje się coraz mniejszy.
Długofalowe korzyści leczenia ortodontycznego inwestycja w zdrowie i pewność siebie
Leczenie ortodontyczne to znacznie więcej niż tylko prostowanie zębów. To prawdziwa inwestycja w długofalowe zdrowie dziecka. Prawidłowy zgryz i proste zęby ułatwiają codzienną higienę jamy ustnej, co znacząco zmniejsza ryzyko rozwoju próchnicy i chorób dziąseł. Zęby, które są prawidłowo ustawione, równomiernie przenoszą siły żucia, co zapobiega nadmiernemu ścieraniu się szkliwa i problemom ze stawami skroniowo-żuchwowymi. Co więcej, prawidłowy zgryz ma wpływ na funkcjonowanie całego układu pokarmowego, ponieważ pokarm jest lepiej rozdrabniany. Może także poprawić wady wymowy i oddychanie. To wszystko przekłada się na lepsze zdrowie na całe życie, minimalizując potrzebę kosztownych i skomplikowanych zabiegów stomatologicznych w przyszłości.
Przeczytaj również: Aparaty na zęby: Jaki wybrać? Przewodnik po typach i cenach
Pewność siebie i piękny uśmiech: wpływ leczenia na samopoczucie i samoocenę dziecka
Nie można przecenić psychologicznych korzyści płynących z leczenia ortodontycznego. Dzieci i młodzież są często bardzo wrażliwe na swój wygląd, a krzywe zęby mogą być źródłem kompleksów, nieśmiałości i niskiej samooceny. Widziałem to wielokrotnie w mojej praktyce. Poprawa wyglądu uśmiechu po zdjęciu aparatu często przekłada się na ogromny wzrost pewności siebie. Dziecko chętniej się uśmiecha, łatwiej nawiązuje kontakty z rówieśnikami, czuje się bardziej akceptowane. To pozytywnie wpływa na jego relacje społeczne, wyniki w nauce i ogólne samopoczucie. Piękny i zdrowy uśmiech to nie tylko estetyka, to fundament dobrego samopoczucia i silnej samooceny, która towarzyszy dziecku przez całe życie.
